Bọc răng sứ là gì? Khi nào cần bọc răng sứ?
Với khả năng phục hình răng hoàn hảo, bọc răng sứ được rất nhiều người tin tưởng và lựa chọn. Tuy nhiên, không phải ai cũng biết bọc răng sứ là gì và khi nào cần bọc răng sứ. Để hiểu rõ hơn về phương pháp này, hãy cùng Nha khoa Nụ Cười tìm hiểu qua bài viết dưới đây nhé!
Nhắn tin vào Fanpage Nha Khoa Nụ Cười Đà Lạt để được tư vấn nhanh nhất!
1. Bọc răng sứ là gì?
Bọc răng sứ là kỹ thuật mài cùi răng thật rồi sử dụng một mão răng sứ chụp lên phần trụ của răng. Răng sứ có màu sắc và hình thể giống với răng thật nên có tính thẩm mỹ cao, đồng thời đảm bảo chức năng ăn nhai và cảm nhận thức ăn như răng thật. Răng sứ bao bọc bên ngoài răng thật giúp bảo vệ chân răng vững chắc và khỏe mạnh.
2. Trường hợp cần bọc răng sứ
Các trường hợp cụ thể dưới đây được bác sĩ khuyến cáo là nên bọc răng sứ để phục hình hàm răng khỏe đẹp.
- Răng bị chết tủy: Trong trường hợp này, răng đã không còn tính đàn hồi nên rất dễ bị vỡ. Khi đó, các bác sĩ sẽ khuyên bạn nên bọc răng sứ để bảo vệ răng thật, giúp răng bền lâu hơn.
- Răng bị sâu nặng: Khi bị sâu răng mọi người thường sử dụng phương pháp trám răng. Tuy nhiên, nếu bị sâu răng nặng thì trám răng không mang lại hiệu quả. Vì vậy, bạn nên bọc răng sứ để khắc phục tình trạng này, giúp bảo vệ răng tốt hơn.
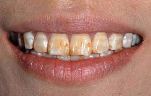
- Răng bị xỉn màu nghiêm trọng: Nếu răng bạn bị xỉn màu quá nhiều mà các phương pháp tẩy trắng răng lại không hiệu quả thì bạn cần làm răng sứ thẩm mỹ. Những chiếc răng được thiết kế giống thật sẽ mang lại cho bạn hàm răng trắng sáng, đều màu.
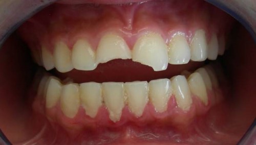
- Răng bị tổn thương: Tác động của ngoại lực làm răng bạn bị sứt, mẻ,…trông kém duyên và ảnh hưởng khả năng ăn nhai. Khi đó, bạn chỉ cần bọc răng sứ là bạn lại có được hàm răng hoàn thiện như lúc ban đầu.
- Các khuyết điểm của răng: Trường hợp răng mọc lệch lạc, mọc thưa, răng hô, móm nhẹ cũng nên làm răng sứ để răng được đều đẹp hơn.
3. Lưu ý khi bọc răng sứ
Răng sứ có độ bền khá cao, nhưng nếu bạn không chăm sóc đúng cách thì sẽ làm giảm tuổi thọ của răng sứ, đồng thời làm mất vẻ đẹp của hàm răng. Hãy lưu ý những vấn đề dưới đây để bảo vệ răng sứ một cách tối ưu nhất.
- Vệ sinh răng sứ: Bạn nên chải răng nhẹ nhàng với bàn chải lông mềm, vệ sinh răng miệng 2-3 lần/ngày, nhất là sau các bữa ăn.
- Điều chỉnh chế độ ăn uống và thói quen ảnh hưởng đến răng sứ: Hạn chế ăn những thực phẩm quá cứng, quá dai, quá nóng hoặc quá lạnh để không làm tổn thương men răng và bảo vệ răng bền chắc hơn. Không hút thuốc lá, không ăn các loại thực phẩm có màu, đường và axit để bảo vệ răng không bị nhiễm màu hay bị tấn công bởi vi khuẩn.
- Khám răng miệng định kỳ: Thời gian khám định kỳ thông thường là 3 – 6 tháng, bác sĩ sẽ kiểm tra lại độ sát khít của viền nướu và xem phần nướu có hồng hào hay không. Sau khi bọc răng sứ nếu gặp bất kỳ triệu chứng lạ như đau nhức, gặp khó khăn trong ăn nhai thì bạn nên đến gặp bác sĩ ngay để được thăm khám và điều trị kịp thời.
Trên đây là những chia sẻ của Nha khoa Trẻ về phương pháp bọc răng sứ, hy vọng bạn đã có thêm được nhiều kiến hữu ích cho bản thân mình. Nếu bạn đang có một hàm răng khiếm khuyết thì còn chần chờ gì nữa mà không đến ngay Nha khoa Nụ Cười để được thay đổi hàm răng, tỏa sáng nụ cười.
Tham khảo thêm:
- https://nhakhoanucuoidalat.com/nen-boc-rang-su-hay-chinh-nha-khi-rang-moc-lech
- https://nhakhoanucuoidalat.com/tiet-lo-cac-dang-rang-su-dep-dang-duoc-ua-chuong-nhat-hien-nay
- https://www.facebook.com/NhaKhoaNuCuoiDalat/?ref=pages_you_manage






